För ett jämnt, vitt och vackert leende
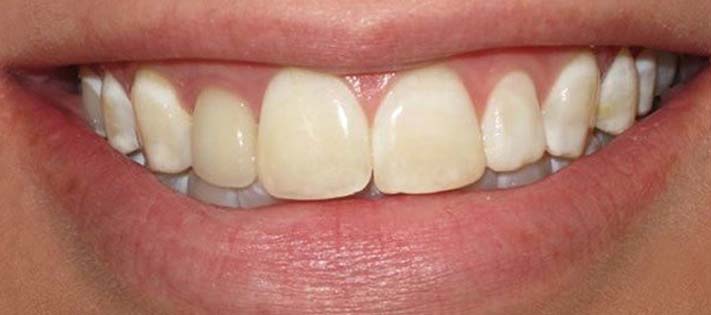
Skalfasader, även kallade porslinsfasader eller tandfasader, är tunna skal av keramik eller komposit som fästs på tändernas framsida för att förbättra utseendet. På Le Finast erbjuder vi estetiskt anpassade skalfasader av hög kvalitet – perfekt för dig som vill rätta till missfärgningar, ojämnheter, gluggar eller tänder med slitage.
Behandlingen sker i nära dialog med dig som patient, där vi planerar fasadernas färg, form och placering för att matcha både ditt leende och dina ansiktsdrag. Vi använder modern teknik och samarbetar med skickliga tandtekniker i Sverige för att säkerställa ett naturligt, hållbart och harmoniskt resultat.

Skalfasader är en skonsam och estetiskt avancerad behandling som ofta kräver minimal slipning av tandens yta, vilket gör den till ett bra alternativ för dig som vill förbättra leendet utan att påverka tandens struktur i onödan. De ger ett omedelbart visuellt lyft och kan korrigera allt från missfärgningar och ojämnheter till mindre snedställningar och gluggar. Skalfasader är dessutom ett långvarigt alternativ till tandblekning eller andra kosmetiska lösningar, med resultat som ser naturliga ut och håller i många år. Hos Le Finast får du en trygg, professionell och individanpassad upplevelse – från första konsultationen till den färdiga fasaden, med full kontroll över varje steg i processen.


Vanliga frågor om skalfasader
01. När passar skalfasader?
Skalfasader är ett utmärkt alternativ om du vill korrigera missfärgningar, snedställningar, ojämna kanter, gluggar eller slitage som påverkar utseendet. Behandlingen passar dig som har friska tänder i grunden men önskar förbättra estetiken. Vid din konsultation går vi igenom dina önskemål, gör en bedömning och skapar en individuell behandlingsplan.
02. Gör det ont att sätta skalfasader?
Nej, behandlingen är oftast helt smärtfri. I många fall behöver tanden bara slipas minimalt, och lokalbedövning används om det behövs. Du kan känna viss känslighet direkt efteråt, men detta försvinner snabbt. Vi ser till att du känner dig bekväm och trygg under hela processen.
03. Hur länge håller skalfasader?
Med rätt skötsel och regelbundna kontroller kan skalfasader hålla i 10–15 år eller längre. Det är viktigt att borsta noggrant, undvika att bita på hårda föremål och använda bettskena vid tandgnissling. Vi ger dig råd om hur du bäst tar hand om dina fasader för ett långvarigt resultat.
04. Vilka material används för era skalfasader?
Skalfasader är tunna skal i porslin eller komposit som fästs på tändernas framsida. De används för att förbättra tändernas form, färg och symmetri – exempelvis vid missfärgningar, gluggar, snedställda eller slitna tänder. Resultatet blir ett naturligt och estetiskt tilltalande leende som ser ut som dina egna tänder.
05. Kan vem som helst få skalfasader?
De flesta friska personer kan få skalfasader, men det krävs att tänderna i grunden är friska och fria från stora lagningar eller pågående tandlossning. Vid konsultationen gör vi en noggrann bedömning för att se om fasader är rätt lösning för dig – alternativt föreslår vi andra behandlingar.
06. Vad kostar skalfasader hos Le finast?
Priset varierar beroende på hur många fasader som behövs, vilket material som används och behandlingens omfattning. Vid konsultation får du en tydlig kostnadsöversikt samt möjlighet att diskutera delbetalning. Vi är alltid öppna med våra priser och gör en individuell bedömning.

